top of page
Dr. Manuel A. Paredes Horna
Cardiologista
São Paulo - Brasil
Sobre
Médicos
Dr. Manuel Paredes Horna - Cardiologista
Dra. Monica S. Pedreira - Nefrologista
Dietas
Hipertensão
Hipercolesterolemia
Insuficiência cardíaca
Download Dietas PDF
Temas em Cardiologia
Prevenção Primária
Hipertensão arterial
Infarto Agudo do Miocárdio
Placa ateromatosa instável
Placa Instável
Fibrilação Atrial
Novos Anticoagulantes - NOAC
Estenose Aórtica
Serviços Oferecidos
Atendimento Cardiológico
Exames realizados
Procedimentos
Cirurgias
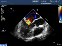
Ecocardiografia
Vivid Iq
Insuficiência Mitral
Insuficiência aórtica
Átrio esquerdo
Próteses valvares
Agendar Consulta
Doctoralia
Consultório Moema (11) 971575391
Unknown Track
-
Unknown Artist
00:00
/
00:00
Avaliação Ecocardiográfica de Insuficiência Mitral
Avaliação Ecocardiográfica de Insuficiência Mitral Severa
Mitra Clip - Step by Step Sala de Hemodinâmica
bottom of page